Before & After Smile Gallery
Explore real smile transformations from Kuhl Dentistry in Juno Beach, FL. These before-and-after cases highlight how cosmetic, restorative, and orthodontic dentistry can improve both function and aesthetics.
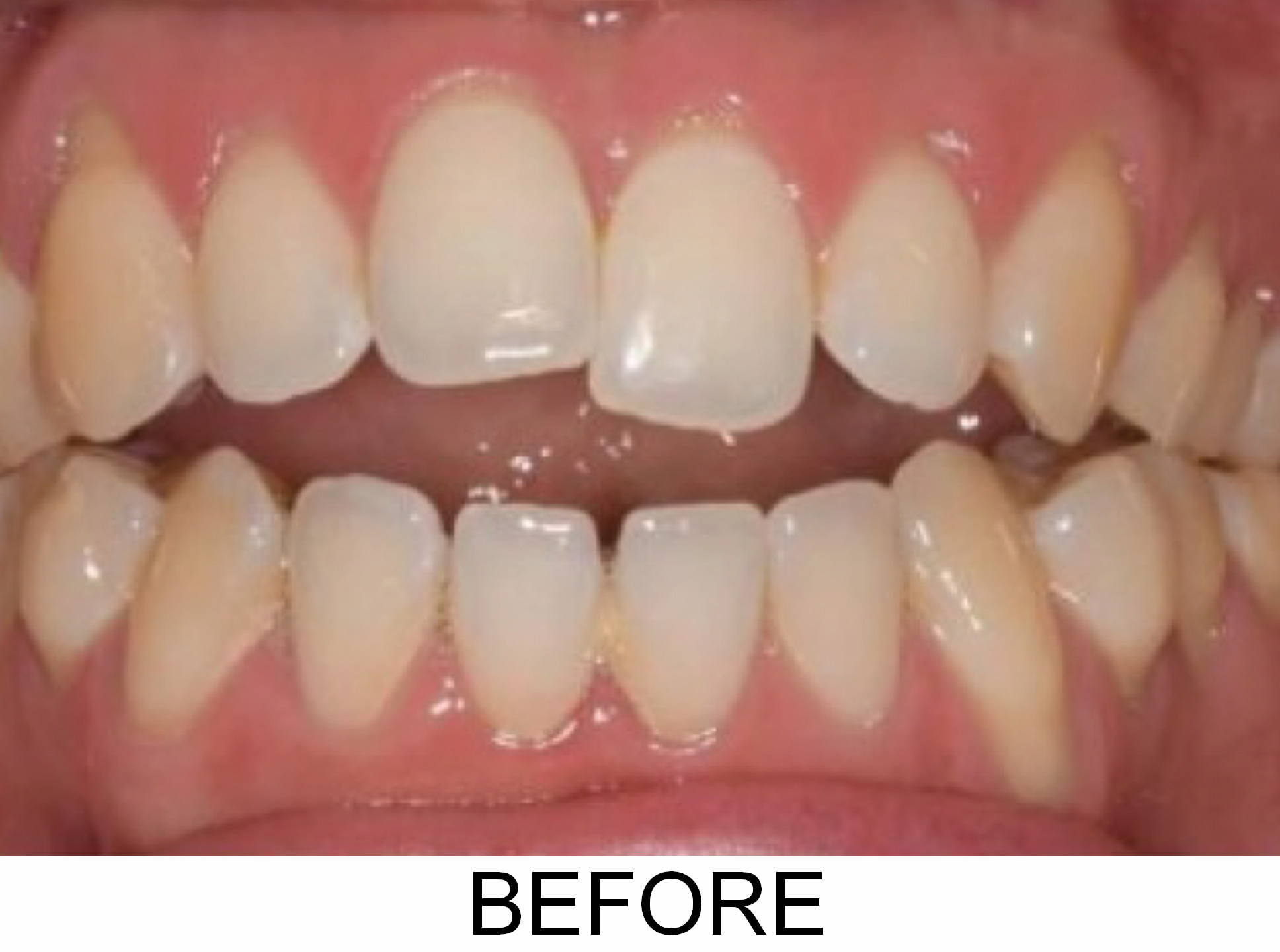
Smile Makeover




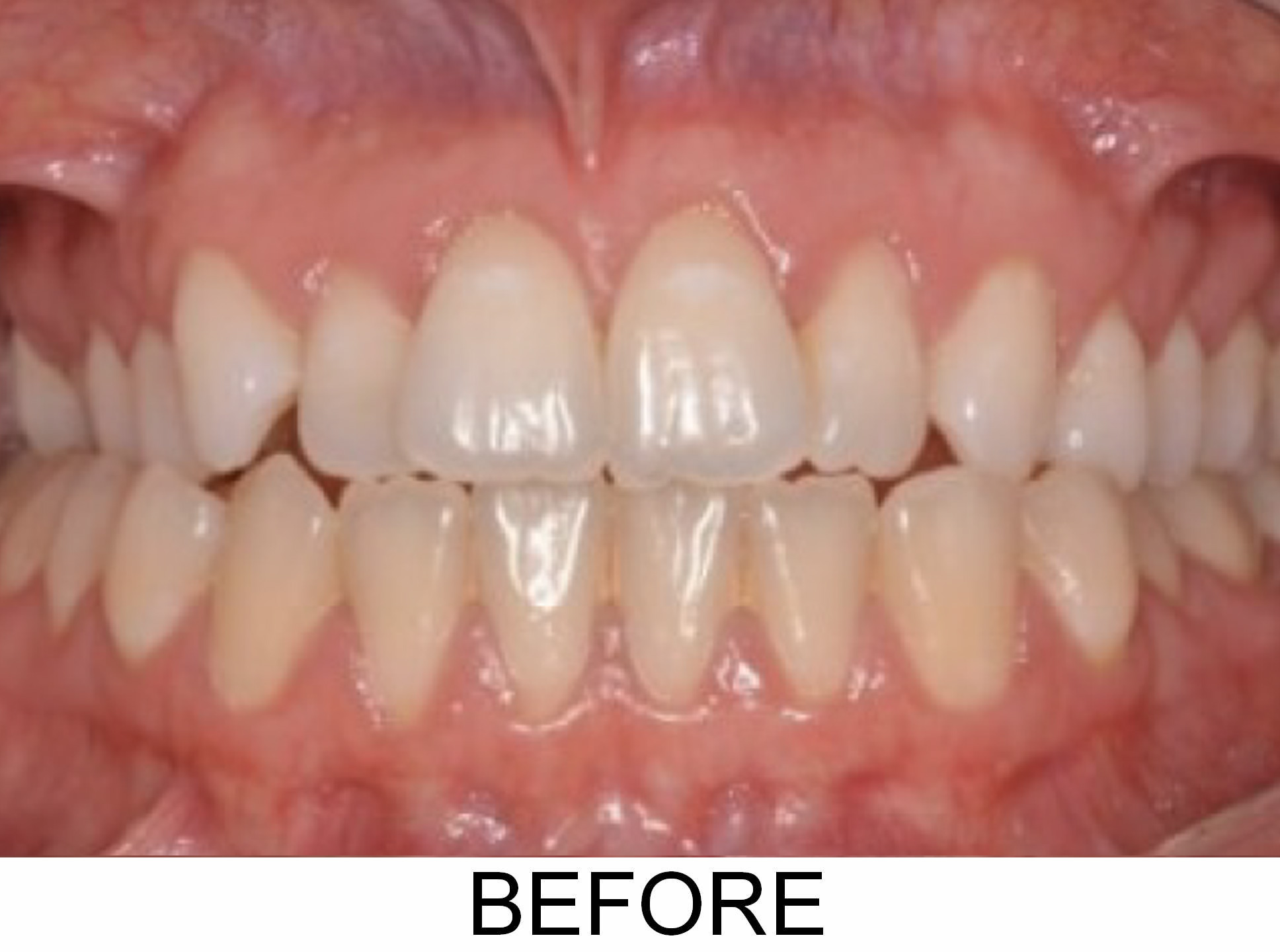
Invisalign






















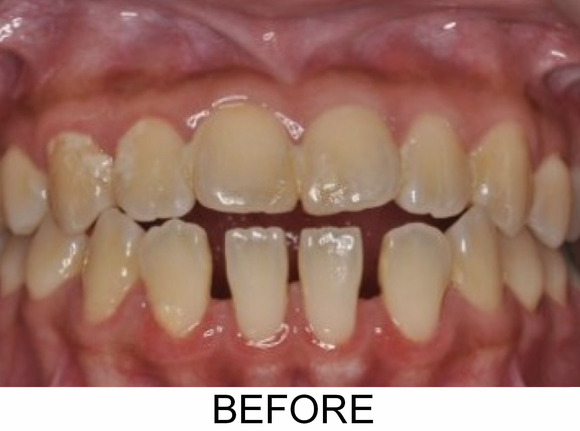
Invisalign and Veneers


Invisalign


Veneers


Crowns


Crowns


Crowns


Crowns


Crowns and Veneers


Crowns and Veneers


Crowns and Fillings


Invisalign and Bleaching


Braces


Bridges


Ready to Transform Your Smile?
Schedule your consultation with Kuhl Dentistry today and discover the possibilities for your smile goals. Call us at 561-627-5552.

